診療センターのご紹介
人工関節センター


ご挨拶

人工関節センター長
村澤 茂
当センターは、関節の痛みに悩む方々が安心して笑顔で暮らせるよう、人工関節置換術をはじめとした専門的な治療を行っています。変形性関節症などによる関節の痛みは生活の質を大きく損ないますが、経験豊富な整形外科医とスタッフが丁寧に寄り添い、診断からリハビリまで一貫してサポートいたします。
当院では股関節・膝関節・肩関節の専門医師が揃っているため、複数の関節に疾患をお持ちの方でも一貫して治療を受けることができます。わかりやすい説明と温かな対応を大切にし、地域の皆さまから信頼されるセンターを目指してまいります。
当センターの特徴
- 徹底した感染予防
-
手術中は清潔操作を徹底し、医師と看護師は宇宙服のような特殊な術衣を着用して臨んでいます。

- 低侵襲で痛みの少ない手術
-
体への負担が少なく、早期回復が期待できる低侵襲手術を行っています。全身麻酔と神経ブロックを併用することで、術後の痛みを軽減し、覚醒を速やかにするとともに、吐き気など薬剤の副作用を最小限に抑えています。
- クリニカルパスの導入
-
入院中は最新のエビデンスに基づいたクリニカルパスを使用し、点滴・リハビリ・検査などを標準化されたスケジュールで進めていきます。
- 多職種連携によるチーム医療
-
医師・看護師・理学療法士・管理栄養士・薬剤師などが連携し、安心して治療・入院生活を送れるよう支援します。

- 最新の知見を取り入れた診療体制
-
最新の知見を常に取り入れるため、スタッフ間で定期的に勉強会を開催し、知識と技術を継続的にアップデートして、より質の高い医療の提供に努めています。

専門医師のご紹介
股関節

- 村澤 茂 医師 インタビュー
-
- これまでのご経歴についてお聞かせください。
-
2011年に北里大学を卒業後、同大学病院で初期研修を行い、北里研究所病院などで後期研修を経て経験を積みました。2017年からは武蔵野赤十字病院で高度急性期医療に従事し、人工関節手術の研鑽を積んだのち、2024年から当院に勤務しています。 モットーは “迅速正確な手術は緻密な術前計画から”です。
- 専門分野について教えてください。
-
私は整形外科の中でも人工関節と股関節疾患を専門としています。人工関節に関しては特に多くの経験を積んできました。
- 荒川区で唯一の人工関節認定医と伺いました。
-
人工関節認定医は、日本人工関節学会が「整形外科専門医の中で、特に人工関節分野で十分な手術経験と研究実績が豊富な医師」を認定する資格です。2025年4月現在、全国で約1200名いますが、荒川区では私が唯一の人工関節認定医になります。これまで培った経験を地域の皆さまに還元し、安全で質の高い医療を提供していきたいと考えています。
- 人工股関節置換術について詳しく教えてください。
-
人工股関節置換術は執刀する医師や施設によって入院期間やアプローチ(股関節へどの方向から進入するか)、手術時間などにばらつきが大きいのが現状です。当センターでは筋肉を切らずに温存する「前側方アプローチ」を採用しています。従来はお尻の後ろ側からアプローチする方法が一般的でしたが、筋肉を切離するため、術後股関節がゆるくなり、脱臼が一定の頻度で生じていました。これに対して、筋肉を温存する「前側方アプローチ」は脱臼リスクが非常に低いため、正座やしゃがみ込みといった日常動作に制限がないという大きな利点があります。また従来の方法より術後回復が早いという特徴もあります。当院での手術は、平均1時間程度で出血量は200mlほど、約9割の方は輸血を必要としません。手術翌日からリハビリを開始し、通常は2週間ほどで退院されています。
人工股関節置換術 術後レントゲン
人工股関節のインプラント - 手術の流れについて教えてください。
-
- 術前外来
- 問診・診察・画像検査の結果をふまえて、治療方針を決定します。
皆様がどんな治療を希望されているか、どんな目標を持っているかなども伺います。必要に応じて複数回の診察を経て治療方針を決定します。手術が決まったら血液検査や心電図などの術前検査を受けていただき、手術前に治療が必要なものがないかどうかを確認します。 - 入院
- 多くの場合、手術の前日に入院になります。手術日はベッドの上で静養していただき、翌日から早速リハビリが始まります。痛みがある場合は適宜痛み止めを追加し、リハビリを無理なく進めていきます。階段の昇り降りや屋外での歩行訓練など、退院後の生活に必要な動作が問題なく行えるようになってから退院となります。
- 術後外来
- 術後1か月程度は炎症が残っている期間のため、無理をしないよう過ごしていただきます。術後3カ月程度経過したら趣味の運動やスポーツが再開できるようになります。術後半年後には違和感が薄れて人工関節が入っているのを忘れるようになる方が増えていきます。
- 最後に、患者さんへのメッセージをお願いします。
-
長年関節の痛みに苦しんでいた方が、退院後に明るい表情で外来に来られる姿を見る瞬間が、私にとって大きな喜びです。治療方針や手術のタイミングは一人ひとり異なります。患者さんにとって最も良い治療を、一緒に考えていきたいと思っています。
膝関節

膝関節専門ドクター嶺 崇文
資格
- 日本整形外科学会専門医
- 日整会認定リウマチ医
- 日整会認定スポーツ医
- 日整会認定リハビリテーション医
- 障害者福祉法15条指定医 肢体不自由
- 嶺 崇文 医師 インタビュー
-
- これまでのご経歴についてお聞かせください。
-
2011年に福島県立医科大学を卒業し、初期臨床研修を経て、2013年に東京慈恵会医科大学整形外科学講座に入局しました。その後は同講座の助教として、大学病院や関連施設で臨床・研究・教育に携わってきました。そして2025年5月より当院に勤務しております。
- 現在取り組まれている主な治療について教えてください。
-
人工膝関節置換術(TKA)や人工膝関節単顆置換術(UKA)、膝周囲骨切り術(AKO)、関節鏡を用いた前十字靱帯再建術、半月板縫合術、膝蓋骨脱臼、膝関節内骨折など、膝関節に関わる幅広い手術に対応しております。
- TKA(人工膝関節置換術)で特に心がけていることはありますか?
-
術後の痛みを軽減し、患者さんの満足度をより高めるために、いくつかの工夫を行っています。
- 1アプローチ法の工夫
- 筋や腱をできるだけ温存する「Subvastusアプローチ」や、膝蓋骨を翻転せずに行う「MIS: Minimally Invasive Surgery(最小侵襲手術)」を積極的に採用しています。これにより、術後の回復が早く、痛みも抑えられる傾向があります。
- 2下肢アライメント(脚の軸)の調整
- 日本人は欧米人に比べて、もともとO脚の方が多い傾向にあります。そのため、従来の「足を真っ直ぐにする手術(mechanical alignment:MA法)」だけでなく、より自然な足の形を目指す「kinematic alignment(KA法)」を症例に応じて使い分けています。最近ではKA法の良好な成績も報告されており、術後の機能向上が期待できます。
- 手術以外の取り組みについても教えてください。
-
変形性膝関節症の早期診断・治療にも力を入れており、エコー(超音波)を用いた診察を活用しています。また、外来通院での保存療法(薬物療法やリハビリ)も重要と考えており、手術だけでなく、患者さんのライフスタイルに応じた最適な治療法を一緒に考えるよう努めています。
- 最後に地域の方々へメッセージをお願いします。
-
膝の痛みや不調にお悩みの方は、どうぞお気軽にご相談ください。保存療法から手術まで、患者さん一人ひとりに合った治療をご提案し、日常生活をより快適に過ごしていただけるよう全力を尽くします。地域医療に貢献できるよう、今後も誠心誠意取り組んでまいります。

高位脛骨骨切り術OWHTO
人工膝関節
単顆置換術UKA
人工膝関節
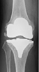
置換術(MA法)MA TKA
人工膝関節
置換術(KA法)KA TKA
肩関節

肩関節外科のエキスパート整形外科部長橋口 宏
資格
- 日本整形外科学会専門医
- 日本整形外科学会認定スポーツ医
- 日本リウマチ学会専門医
- 橋口 宏 医師 インタビュー
-
- これまでのご経歴についてお聞かせください。
-
1988年に日本医科大学を卒業し、同大学整形外科に入局しました。1994年に大学院を修了し博士号を取得、その後は日本医科大学付属病院および関連病院で臨床と研究に従事してまいりました。2004年にはアメリカ・コロンビア大学に留学し、最先端の肩関節手術(人工関節、関節鏡手術)を学びました。2023年5月より当院整形外科部長として勤務しています。
- 専門分野について詳しく教えてください。
-
肩関節外科を専門にしており、特に人工肩関節置換術や関節鏡手術などの低侵襲治療に力を入れています。留学中には人工肩関節の開発にも関わり、以降も学会発表や多数に渡る論文執筆を通して知見を深めてきました。現在も日本肩関節学会、日本スポーツ整形外科学会、日本人工関節学会などで理事・役員を務めており、2015年から現在まで日本整形外科学会認定リバース型人工肩関節置換術資格認定講習会の講師も務めております。
- 先生は「名医のいる病院 2024 整形外科編」にも掲載されていますね。
-

はい、おかげさまで医療新聞社発行の『名医のいる病院 2024 整形外科編』にて、全国の整形外科名医349名の一人としてご紹介いただきました。特に肩関節分野の専門医としては、全国でわずか9名しか選ばれておらず、その1人として掲載されています。これまで取り組んできた臨床・研究・教育の成果が評価されたものと受け止めており、たいへん光栄に思っています。
- それだけ専門性が高く、貴重な分野なのですね。
-
肩関節は、可動域が広く構造が複雑なため、診断も治療も非常に高度な知識と技術が求められる分野です。日本では専門医の数が限られており、特にリバース型人工肩関節置換術のような先進的な手術は対応できる施設も限られています。当院ではそのような専門的な治療まで行える体制を整えており、地域の方々が質の高い医療を受けられるよう努めています。
- どのような疾患・症状に対応されていますか?
-
五十肩や肩腱板断裂、変形性関節症、反復性肩関節脱臼、スポーツによる肩の障害、肩関節周辺骨折など、肩関節に関わるすべての疾患や外傷を対象としています。リハビリテーションを中心とした保存的治療から関節鏡視下手術、人工肩関節置換術、骨折手術などの手術的治療まで、幅広く対応しています。
リバース型人工肩関節
肩腱板断裂
関節鏡下腱板修復術
外来診療担当医表
- 「※」は日本医科大学関連医師、「*」は女性医師です。
- 診療科
- 月
- 火
- 水
- 木
- 金
- 土
- ・休診・代診につきましては随時最新情報に更新しておりますが、急な変更によりお知らせができない場合もございます。ご理解くださいますようお願い致します。ご来院の際にはお問い合わせください。
- ・救急患者は救急科もしくは総合診療科で対応いたします。
- ・内科は内科新患医師、その他は当該科医師、それ以外の対応(主に相談など)は外来責任医師が担当します。
- ・整形外科の水曜日午後の肩関節外来は、完全予約・紹介制です。
- ・小児科の予防接種・乳児健診は完全予約制です。平日は14時~15時、土曜日は9時~9時30分が予約の受け付け時間です。(乳児健診は土曜日はありません。)
※1歳半くらいのお子様の予防接種は、平日午後の時間帯のご予約をお願いします。
※一般診察は、平日は15時より、土曜日は9時30分より開始いたします。


