診療科のご紹介
整形外科


対応疾患と特色
整形外科では、骨・関節・脊椎・靭帯・筋肉・神経といった運動器に関わる疾患や外傷の診断・治療を行っています。
主な対象は以下のとおりです。
- 疾患
- 椎椎間板ヘルニア、脊柱管狭窄症、肩関節周囲炎(四十肩・五十肩)、変形性関節症、骨粗鬆症、
絞扼性神経障害、関節リウマチ、骨・軟部腫瘍、化膿性関節炎、痛風など - 外傷
- 骨折、関節脱臼、靭帯損傷、筋腱損傷、スポーツ障害など
診断には、症状や理学所見に加え、MRI・CT・骨密度検査(DEXA)といった最新の画像検査を活用し、最適な治療方法を選択します。
保存的治療としては薬物療法とリハビリテーションを積極的に導入し、手術治療としては骨折手術、人工関節置換術、関節鏡手術など幅広く対応しています。
急性期疾患・外傷から慢性疾患まで、幅広く診療を行っています。
肩関節外来
肩関節外来では、肩腱板断裂、変形性肩関節症、反復性脱臼、スポーツによる肩障害、肩関節周囲炎(四十肩・五十肩)、石灰性腱炎、肩関節骨折など、肩に関するあらゆる疾患・外傷を対象としています。
症状や画像検査から治療適応を正確に判断し、保存療法・リハビリテーションから関節鏡手術・骨折手術・人工関節置換術まで、肩関節専門医が診療にあたります。
肩の痛みや動かしづらさでお困りの方は、ぜひ一度ご相談ください。
肩関節専門医のご紹介股関節外来
股関節外来では変形性股関節症などの変性疾患、大腿骨頭壊死や急速破壊型股関節症、脆弱性骨折、外傷および外傷後の二次的障害などに対応しています。
下肢の痛みは、正しい診断にたどり着くまで時間を要するケースが少なくありません。股関節周囲の痛みが腰椎から由来する場合や、膝・ふくらはぎ周囲の痛みが股関節から由来する場合など様々です。一人一人の症状に応じて、正確な診断と最適な治療を行っていきます。
- 人工股関節置換術
-
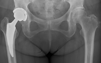
当院では、侵襲の少ない前側方アプローチを採用しています。従来の後方アプローチに比べ、術後脱臼のリスクが低く、正座やしゃがみ込みといった日常動作の制限が不要なため、患者さんの生活の質向上に大きなメリットがあります。
術後は約2週間で自宅退院が可能で、3か月以降にはゴルフ・ダンス・テニス・卓球・水泳など多くの趣味やスポーツを再開できます。
股関節専門医のご紹介
人工股関節置換術後レントゲン
膝関節外来
膝関節外来では変形性膝関節症、半月板損傷、靱帯損傷、膝蓋骨脱臼、膝周囲骨折など、膝関節疾患全般に対応しています。変形性膝関節症については早期診断・治療にも注力しており、エコー(超音波)を用いた診察を行っています。外来通院での薬物療法やリハビリなど保存療法も重視しています。患者様一人ひとりのライフスタイルに合わせ、最適な治療方法を共に検討してまいります。
- 人工膝関節置換術
-
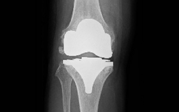
筋や腱を温存したアプローチである最小侵襲手術(MIS)を用いた手術に取り組んでおります。
膝関節専門医のご紹介
この方法は従来の方法に比べて早期回復が期待できます。
通常2-3週間程度で退院となります。
人工膝関節全置換術後レントゲン
肢関節の痛みでお悩みの方は、どうぞお気軽にご相談ください。
肩関節専門医のご案内

肩関節外科のエキスパート整形外科部長橋口 宏
資格
- 日本整形外科学会専門医
- 日本整形外科学会認定スポーツ医
- 日本リウマチ学会専門医
- 橋口 宏 医師 インタビュー
-
- これまでのご経歴についてお聞かせください。
-
1988年に日本医科大学を卒業し、同大学整形外科に入局しました。1994年に大学院を修了し博士号を取得、その後は日本医科大学付属病院および関連病院で臨床と研究に従事してまいりました。2004年にはアメリカ・コロンビア大学に留学し、最先端の肩関節手術(人工関節、関節鏡手術)を学びました。2023年5月より当院整形外科部長として勤務しています。
- 専門分野について詳しく教えてください。
-
肩関節外科を専門にしており、特に人工肩関節置換術や関節鏡手術などの低侵襲治療に力を入れています。留学中には人工肩関節の開発にも関わり、以降も学会発表や多数に渡る論文執筆を通して知見を深めてきました。現在も日本肩関節学会、日本スポーツ整形外科学会、日本人工関節学会などで理事・役員を務めており、2015年から現在まで日本整形外科学会認定リバース型人工肩関節置換術資格認定講習会の講師も務めております。
- 先生は「名医のいる病院 2024 整形外科編」にも掲載されていますね。
-

はい、おかげさまで医療新聞社発行の『名医のいる病院 2024 整形外科編』にて、全国の整形外科名医349名の一人としてご紹介いただきました。特に肩関節分野の専門医としては、全国でわずか9名しか選ばれておらず、その1人として掲載されています。これまで取り組んできた臨床・研究・教育の成果が評価されたものと受け止めており、たいへん光栄に思っています。
- それだけ専門性が高く、貴重な分野なのですね。
-
肩関節は、可動域が広く構造が複雑なため、診断も治療も非常に高度な知識と技術が求められる分野です。日本では専門医の数が限られており、特にリバース型人工肩関節置換術のような先進的な手術は対応できる施設も限られています。当院ではそのような専門的な治療まで行える体制を整えており、地域の方々が質の高い医療を受けられるよう努めています。
- どのような疾患・症状に対応されていますか?
-
五十肩や肩腱板断裂、変形性関節症、反復性肩関節脱臼、スポーツによる肩の障害、肩関節周辺骨折など、肩関節に関わるすべての疾患や外傷を対象としています。リハビリテーションを中心とした保存的治療から関節鏡視下手術、人工肩関節置換術、骨折手術などの手術的治療まで、幅広く対応しています。
リバース型人工肩関節
肩腱板断裂
関節鏡下腱板修復術
股関節専門医のご案内

- 村澤 茂 医師 インタビュー
-
- これまでのご経歴についてお聞かせください。
-
2011年に北里大学を卒業後、同大学病院で初期研修を行い、北里研究所病院などで後期研修を経て経験を積みました。2017年からは武蔵野赤十字病院で高度急性期医療に従事し、人工関節手術の研鑽を積んだのち、2024年から当院に勤務しています。 モットーは “迅速正確な手術は緻密な術前計画から”です。
- 専門分野について教えてください。
-
私は整形外科の中でも人工関節と股関節疾患を専門としています。人工関節に関しては特に多くの経験を積んできました。
- 荒川区で唯一の人工関節認定医と伺いました。
-
人工関節認定医は、日本人工関節学会が「整形外科専門医の中で、特に人工関節分野で十分な手術経験と研究実績が豊富な医師」を認定する資格です。2025年4月現在、全国で約1200名いますが、荒川区では私が唯一の人工関節認定医になります。これまで培った経験を地域の皆さまに還元し、安全で質の高い医療を提供していきたいと考えています。
- 人工股関節置換術について詳しく教えてください。
-
人工股関節置換術は執刀する医師や施設によって入院期間やアプローチ(股関節へどの方向から進入するか)、手術時間などにばらつきが大きいのが現状です。当センターでは筋肉を切らずに温存する「前側方アプローチ」を採用しています。従来はお尻の後ろ側からアプローチする方法が一般的でしたが、筋肉を切離するため、術後股関節がゆるくなり、脱臼が一定の頻度で生じていました。これに対して、筋肉を温存する「前側方アプローチ」は脱臼リスクが非常に低いため、正座やしゃがみ込みといった日常動作に制限がないという大きな利点があります。また従来の方法より術後回復が早いという特徴もあります。当院での手術は、平均1時間程度で出血量は200mlほど、約9割の方は輸血を必要としません。手術翌日からリハビリを開始し、通常は2週間ほどで退院されています。
人工股関節置換術 術後レントゲン
人工股関節のインプラント - 手術の流れについて教えてください。
-
- 術前外来
- 問診・診察・画像検査の結果をふまえて、治療方針を決定します。
皆様がどんな治療を希望されているか、どんな目標を持っているかなども伺います。必要に応じて複数回の診察を経て治療方針を決定します。手術が決まったら血液検査や心電図などの術前検査を受けていただき、手術前に治療が必要なものがないかどうかを確認します。 - 入院
- 多くの場合、手術の前日に入院になります。手術日はベッドの上で静養していただき、翌日から早速リハビリが始まります。痛みがある場合は適宜痛み止めを追加し、リハビリを無理なく進めていきます。階段の昇り降りや屋外での歩行訓練など、退院後の生活に必要な動作が問題なく行えるようになってから退院となります。
- 術後外来
- 術後1か月程度は炎症が残っている期間のため、無理をしないよう過ごしていただきます。術後3カ月程度経過したら趣味の運動やスポーツが再開できるようになります。術後半年後には違和感が薄れて人工関節が入っているのを忘れるようになる方が増えていきます。
- 最後に、患者さんへのメッセージをお願いします。
-
長年関節の痛みに苦しんでいた方が、退院後に明るい表情で外来に来られる姿を見る瞬間が、私にとって大きな喜びです。治療方針や手術のタイミングは一人ひとり異なります。患者さんにとって最も良い治療を、一緒に考えていきたいと思っています。
膝関節専門医のご案内

膝関節専門ドクター嶺 崇文
資格
- 日本整形外科学会専門医
- 日整会認定リウマチ医
- 日整会認定スポーツ医
- 日整会認定リハビリテーション医
- 障害者福祉法15条指定医 肢体不自由
- 嶺 崇文 医師 インタビュー
-
- これまでのご経歴についてお聞かせください。
-
2011年に福島県立医科大学を卒業し、初期臨床研修を経て、2013年に東京慈恵会医科大学整形外科学講座に入局しました。その後は同講座の助教として、大学病院や関連施設で臨床・研究・教育に携わってきました。そして2025年5月より当院に勤務しております。
- 現在取り組まれている主な治療について教えてください。
-
人工膝関節置換術(TKA)や人工膝関節単顆置換術(UKA)、膝周囲骨切り術(AKO)、関節鏡を用いた前十字靱帯再建術、半月板縫合術、膝蓋骨脱臼、膝関節内骨折など、膝関節に関わる幅広い手術に対応しております。
- TKA(人工膝関節置換術)で特に心がけていることはありますか?
-
術後の痛みを軽減し、患者さんの満足度をより高めるために、いくつかの工夫を行っています。
- 1アプローチ法の工夫
- 筋や腱をできるだけ温存する「Subvastusアプローチ」や、膝蓋骨を翻転せずに行う「MIS: Minimally Invasive Surgery(最小侵襲手術)」を積極的に採用しています。これにより、術後の回復が早く、痛みも抑えられる傾向があります。
- 2下肢アライメント(脚の軸)の調整
- 日本人は欧米人に比べて、もともとO脚の方が多い傾向にあります。そのため、従来の「足を真っ直ぐにする手術(mechanical alignment:MA法)」だけでなく、より自然な足の形を目指す「kinematic alignment(KA法)」を症例に応じて使い分けています。最近ではKA法の良好な成績も報告されており、術後の機能向上が期待できます。
- 手術以外の取り組みについても教えてください。
-
変形性膝関節症の早期診断・治療にも力を入れており、エコー(超音波)を用いた診察を活用しています。また、外来通院での保存療法(薬物療法やリハビリ)も重要と考えており、手術だけでなく、患者さんのライフスタイルに応じた最適な治療法を一緒に考えるよう努めています。
- 最後に地域の方々へメッセージをお願いします。
-
膝の痛みや不調にお悩みの方は、どうぞお気軽にご相談ください。保存療法から手術まで、患者さん一人ひとりに合った治療をご提案し、日常生活をより快適に過ごしていただけるよう全力を尽くします。地域医療に貢献できるよう、今後も誠心誠意取り組んでまいります。

高位脛骨骨切り術OWHTO
人工膝関節
単顆置換術UKA
人工膝関節
置換術(MA法)MA TKA
人工膝関節
置換術(KA法)KA TKA





